Ein Schlaganfall ist die häufigste Ursache für Aphasie. Die Form der Sprachstörung spielt für den richtigen Therapieansatz eine wichtige Rolle.
Schlaganfall
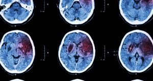
Als die fünfthäufigste Todesursache in Deutschland wird der Schlaganfall genannt. Etwa 80% aller Schlaganfälle entsteht durch Gefäßverschluss, bzw. dadurch, dass…
Bei einem Schlaganfall handelt es sich um eine örtliche Störung innerhalb des Gehirns. Diese wird in der Regel durch eine…
Risikofaktoren für den Schlaganfall sollten nach Möglichkeit ausgeschaltet werden. Hierzu gehören Maßnahmen, die den Blutdruck reduzieren. Herz- und Kreislauferkrankungen, sowie…
Der Schlagfall kann auch bei jungen Menschen von 20 oder 30 Jahren bereits auftreten. Die Risikofaktoren liegen oftmals genetisch in…
Typische Symptome für den Schlaganfall sind Lähmungen oder auch Hörstörungen bis zur Taubheit. Die Lähmungen treten an Arm und Bein…
Besteht bei einem Menschen der Verdacht auf einen Schlaganfall, muss umgehend der Krankenwagen gerufen werden. Wichtig ist sofortige Handlung, damit…
Natürlich kann der Schlaganfall auch tödlich verlaufen. Ein Todesfall nach der medizinischen Behandlung nach dem Anfall ist aber sehr selten.…
Oftmals ist nach dem Schlaganfall eine mehr oder weniger starke Pflegebedürftigkeit gegeben. Der Patient, der einen Schlaganfall erlitten hat, wird…
Grundsätzlich hat die Therapie sich in Form der so bezeichneten Stroke Unit als am besten wirksam erwiesen. Hier werden die…









